転んだり、ぶつけたりして、歯が欠けたり、折れた時(外傷)のお話です。
唇や歯ぐきのケガは経験したことがないくらい血がでるものなので、本人や周りの人も驚いて、パニックになりがちですが、あらかじめ知識があれば大丈夫です。
まずはタオルで出血を押さえて落ち着きましょう。
もし歯が欠けていたら、その一部分でも探して保存し歯科医院へお持ちになってください。
歯が完全に抜けて口から飛び出してしまった場合は、その歯を探してください。近くに落ちています。
見つけたらなるべく早く歯科医院へお持ちになって下さい。
保存方法は、
いろいろなケースと処置についてご説明します。
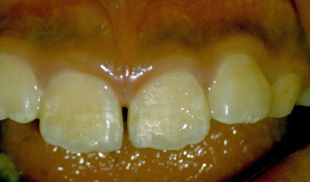
Q1 歯が小さく欠けた場合は?
Dr.:欠けた部分は、歯と同じ色のプラスチック(レジン充填)を選び、マイクロスコープを見ながら、少しづつ埋めては照射(光で固める)をしながら修復します。


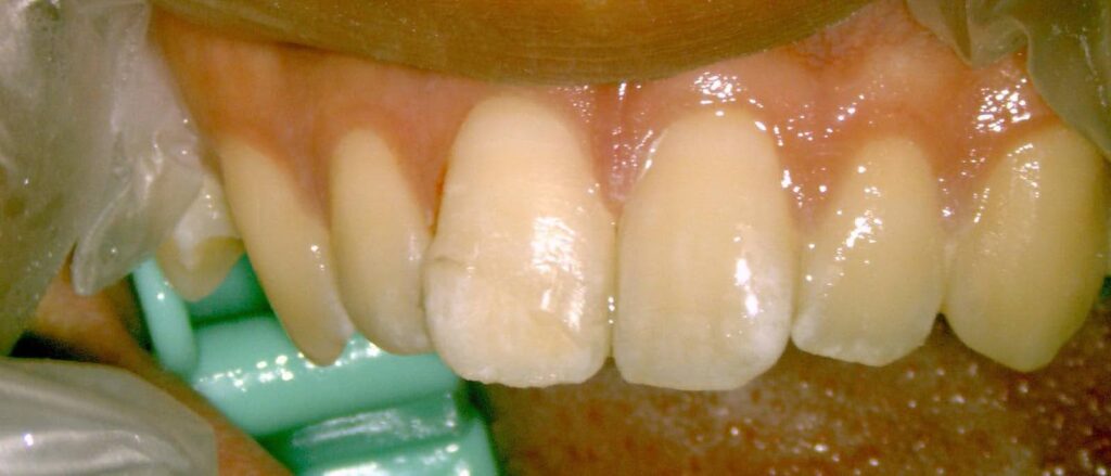
Q2 歯が大きく欠けた場合は?
Dr.:①欠けた歯がある場合
割れたコップやお茶碗を修理するように、かけた歯を歯科用接着剤で着けて戻します。つなぎ目は丁寧に研磨すると破折した箇所が一目ではわからない位に修復できます。


②かけた歯が無い場合
型どりをして、被せ物を作成します。
痛みが出ている場合は、歯の神経を取る治療を型どりの前に行います。
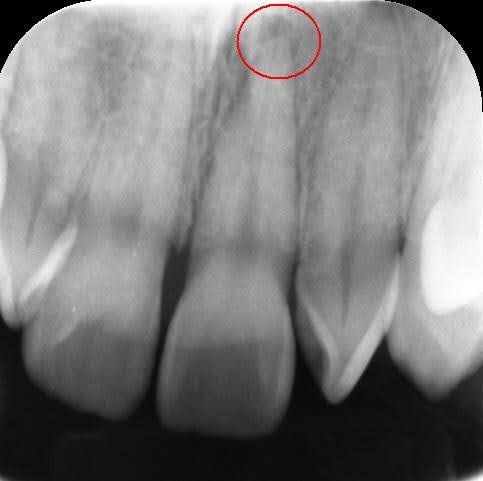
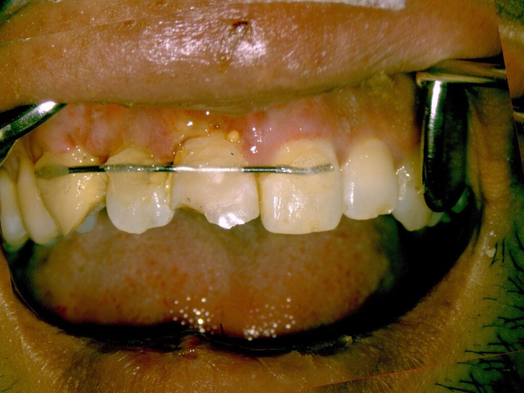
Q3 ぶつけた歯がぐらぐらになった時は?
Dr.:レントゲンと歯髄診断(電気・冷却)から神経の損傷の状態を確認します
12歳未満の場合
症例)
①ベットの上で飛び跳ねていてベッドの背に顔をぶつけた
②友達と遊んでいて友達の肘や頭が自分の前歯に当たった
③鉄棒中に手が滑って鉄棒に前歯をぶつけた
④バスケットやラグビーの練習中に相手の頭に前歯がぶつかった、など)


処置)歯の神経が残る場合があります。すぐにプラスチック(レジン充填)で揺れを止め経過観察をします。
13歳~成人の方の場合
症例)
①体育の授業中に同級生とぶつかり前のめりに転倒し床に前歯強打
②幅広のパンツに足が引っかかり前へ転倒
③室内で立ちくらみ、机に前歯をぶつける
④電車内で立ちくらみの為手すりに前歯をぶつける
Dr.:歯の神経(歯髄)は、強打の為断絶してしまい、助かりません。かといって抜歯はしません。壊死してしまった根管内の歯髄を綺麗にする根管治療をします。


赤丸が膿んでいる病変部
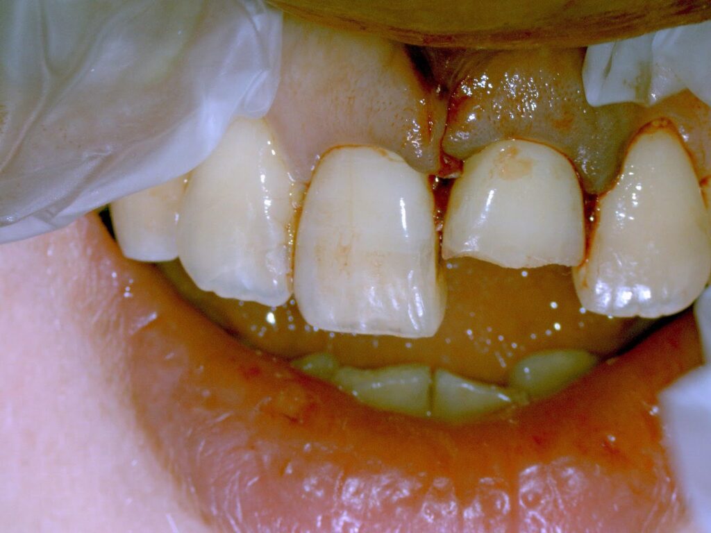
Q4 歯がめり込んだ時は?
症例)自宅前でつまづいて前のめりに転倒。前歯が骨の中に埋没。
出血多く、鏡を見て歯が無かった為、歯を失ったと意気消沈で来院
Dr.:麻酔をし、元の位置に引っ張り出して戻し、隣の歯と仮止めします。歯髄(=神経)は傷み残せない状態なので、根管治療をしました。


Q5 歯が取れた場合は?
症例)自転車で走行中、前のめりに転倒。
Dr.:①歯がある場合
その歯を戻すことが可能です。
ただし、歯の根っこに付着している膜(歯根膜)は乾燥に弱い為、すぐ(できれば30分以内)に保存液や精製水に保存してお持ちになってください。

Dr.:②歯が無くなった場合
部分入れ歯、ブリッジ、インプラントなどで歯を作ることが可能です。
